Tooth pain can range from mild discomfort to throbbing, intense pain that can interfere with daily life. Whether it’s due to a cavity, sensitive teeth, or a more serious issue, identifying the underlying cause is crucial.
Let’s explore the various reasons behind tooth pain so that, by the end of this post, you’ll know when it’s time to see a dentist and what dental treatments may provide relief.

Understanding the causes of tooth pain
Dental pain, can indicate a wide range of issues, from minor irritations to serious dental conditions.
While it’s easy to dismiss occasional pain in teeth, persistent discomfort may signal an underlying cause that requires prompt attention.
Ignoring pain can lead to complications, including infections that may spread to other areas of the body, even causing chest pain or jaw pain.
Early detection and treatment can prevent dental problems from worsening.
Common dental issues that cause tooth pain
Toothache occurs for many reasons, including cavities, gum disease, a fractured tooth, or even a loose filling.
The pain can range from a dull ache to sharp pain, depending on the severity of the issue.
If you’ve experienced tooth pain recently, it’s important to explore the potential causes before dental problems become worse.
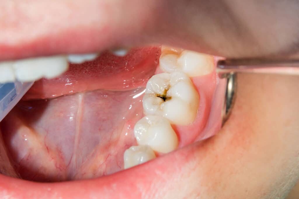
Cavities: the most common cause of tooth pain
How cavities develop
Cavities, also known as tooth decay, are among the most common painful dental problems.
When sugary foods and drinks are consumed frequently, the sugars mix with bacteria in the mouth, forming acids that erode tooth enamel.
Over time, this can create holes in the teeth, which then causes discomfort when food particles get trapped inside or when the dental pulp becomes exposed.
Symptoms of a cavity
Tooth decay often leads to sensitivity or sharp pain, especially when eating hot, cold, or sweet foods.
You may also experience throbbing tooth pain or notice a bad taste in your mouth due to bacterial infection.
If left untreated, the tooth pain can become more severe, potentially leading to an infected tooth or the need for root canal therapy.
Diagnosing and treating cavities
If you suspect a cavity is the cause of your pain, see a dentist for a proper diagnosis.
Dental treatments for cavities include fillings, crowns, or root canals if the tooth pulp is affected.
Brushing your teeth twice a day with toothpaste containing fluoride can help prevent future cavities, while saving sugary foods for an occasional treat is essential for maintaining tooth health.
Tooth sensitivity: a different kind of pain
What is tooth sensitivity?
Tooth sensitivity is another common cause of pain.
When the protective tooth enamel wears down or the gums shrink, the nerves inside the teeth become exposed, triggering pain when you eat or drink something hot or cold.
Common triggers for sensitivity
Sensitive teeth can be triggered by various factors, including sugary or acidic foods, cold air, and even regular brushing with a hard toothbrush.
This type of pain is usually temporary and can be managed by using a soft toothbrush and desensitising fluoride toothpaste.
Ways to treat and manage sensitivity
For teeth prone to sensitivity, it’s important to avoid harsh brushing and opt for a good toothpaste that helps rebuild enamel.
A hydrogen peroxide rinse can also relieve sensitivity by reducing bacteria in the mouth, though it should be used sparingly to avoid irritating the gums.
Gum disease: could your gums be the problem?
Gum disease, such as gingivitis or periodontal disease, is a leading cause of tooth loss and dental pain.
It occurs when plaque builds up along the gum line, causing swollen gums, bleeding gums, and potential tooth loss if left untreated.
Gum disease can also cause the gums to shrink, exposing more of the tooth and increasing sensitivity.
Early signs of this particular problem include bleeding gums when brushing, red or swollen gums, and persistent bad breath.
As the disease progresses into periodontitis, you may notice a dull ache, receding gums, or even loose teeth, as the infection damages the supporting bone.
Managing gum-related pain
If you suspect your gums are causing pain, it’s essential to visit a dentist for a professional cleaning.
Regular brushing and flossing, along with using an antibacterial hydrogen peroxide rinse, can help prevent gum infections.
In advanced cases, scaling and root planing or other dental treatments may be necessary to restore gum health.
Tooth grinding (bruxism): a hidden cause of pain
Symptoms of tooth grinding
Tooth grinding, or bruxism, is often a hidden cause of tooth pain and jaw pain.
Many people grind their teeth at night without realising it, leading to wear on the teeth and pain in the temporomandibular joint (TMJ), the area where the lower jaw connects to the skull.
How bruxism leads to tooth pain
Grinding your teeth wears down your teeth’s natural enamel, making them more prone to sensitivity and damage. It can also lead to a cracked tooth, broken fillings, or even loose teeth, all of which can cause significant pain.
Solutions for tooth grinding
To alleviate tooth pain from grinding, a dentist may recommend a custom night guard to prevent further damage. Relaxation techniques and stress management may also help reduce grinding.
Cracked or damaged teeth: when structural problems hurt
Identifying a cracked tooth
A cracked tooth can cause sharp pain, especially when biting down. Depending on the severity of the crack, the pain may come and go, making it hard to pinpoint the issue.
A broken tooth or loose filling can also cause pain when food particles get stuck or pressure is applied to the affected area.
Types of cracks and their treatments
For minor cracks, dental bonding may be enough to fix the issue.
More severe cases may require a crown or root canal therapy if the dental pulp is affected.
If the damage is extensive, a tooth extraction might be necessary to prevent further complications.
Sinus infections and tooth pain: the surprising connection
How sinus pressure can cause toothaches
Did you know that sinus infections can cause tooth pain? The upper teeth share blood vessels and nerves with the sinuses, so when the sinuses become inflamed, they can put pressure on the teeth, causing pain.
Recognising sinus-related tooth pain
Sinus-related toothaches typically occur in the upper molars and are accompanied by sinus congestion or pressure in the lower jaw. In these cases, treating the sinus infection with decongestants or nasal rinses can provide relief from the tooth pain.
Dental abscesses: a serious dental emergency
A dental abscess is a pocket of pus that forms in or around the tooth due to a bacterial infection. It typically occurs when tooth decay, gum disease, or trauma to the tooth allows bacteria to invade the pulp inside the tooth, which contains blood vessels and nerves. This infection can cause severe pain, swelling, and, in some cases, fever or a bad taste in the mouth due to the release of pus.
There are two common types of dental abscesses: a periapical abscess, which forms at the tip of the tooth’s root, and a periodontal abscess, which affects the gums surrounding the tooth. Both types can cause throbbing tooth pain and swelling in the affected area.
If left untreated, a dental abscess can spread to other areas of the face or body, leading to serious complications. Immediate dental treatment is necessary, often involving drainage of the abscess, antibiotics to clear the infection, and possibly root canal therapy to save the tooth. In severe cases, tooth extraction may be required to prevent further infection.
When to see a dentist: pain that requires immediate attention
Signs that you need immediate dental care
Some types of tooth pain require immediate attention from a dentist. If you experience persistent throbbing tooth pain, swelling, or a dental abscess, get yourself to the dentist right away. An infected tooth can lead to serious complications if not treated promptly.
Preventive measures to avoid tooth pain
To prevent tooth pain and dental decay, practice good oral hygiene by brushing regularly with fluoride toothpaste, flossing daily, and avoiding foods containing lots of sugar.
Regular dental check-ups are essential for catching dental problems early before they worsen.
For pain relief, use home remedies like clove oil, a saltwater rinse, or applying an ice pack to reduce swelling. If the pain lasts or worsens, seek professional dental treatment immediately.
Dental emergencies: when to visit the emergency department
In rare cases, dental pain can signal a more serious health issue, such as a severe infection that requires immediate medical attention.
If tooth pain is accompanied by fever, facial swelling, or difficulty breathing, it’s crucial to visit the emergency department right away. This can prevent a serious infection from spreading or becoming life-threatening.
See a dentist for your tooth pain today!
By understanding the various causes of pain and toothache, whether it’s tooth decay, sensitivity, or a more serious condition, you can take steps to protect your dental health and prevent future problems.
If you’re dealing with any kind of dental pain or need expert care, Fulham Road Dental offers comprehensive dental services in London.
From routine check-ups and preventive care to advanced treatments like root canals and dental implants, our experienced team works hard to deliver personalised care that fully meets your dental needs.
With a commitment to high-quality dental treatment and patient comfort, Fulham Road Dental is dedicated to helping you maintain a healthy, pain-free smile.


